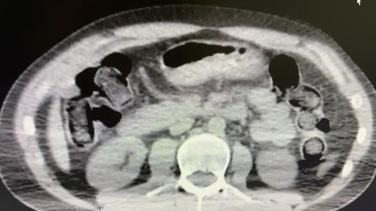
Nevşehir İl Emniyet Müdürlüğü Narkotik Suçlarla Mücadele Şube Müdürlüğü ekipleri, kentte uyuşturucu ve uyarıcı madde ticareti yapan kişilere yönelik kapsamlı bir operasyon başlattı. Cumhuriyet Başsavcılığı'nın koordinesinde yürütülen çalışmalarda, şüpheliler S.B. ve O.R.’nin 'yutma yöntemi' kullanarak uyuşturucu madde sevk edeceği bilgisi alındı. Bu bilgi üzerine harekete geçen ekipler, belirlenen adreslerde ve araçlarda detaylı arama gerçekleştirdi. Yapılan aramada, 101 kapsül halinde toplam 722 gram uyuşturucu madde, bir adet hassas terazi ve bu yöntemle uyuşturucu sevkiyatında kullanılan farklı materyaller ele geçirildi. Ayrıca, uyuşturucu ticaretinden elde edildiği değerlendirilen 20 bin 210 TL, bin 320 euro ve 10 ABD doları da bulundu. Emniyetteki işlemlerinin ardından adliyeye sevk edilen iki şüpheli, çıkarıldıkları mahkemece tutuklanarak cezaevine gönderildi.
Nevşehir'de Uyuşturucu Sevkiyatı Yapan İki Şüpheli Gözaltına Alındı
Nevşehir'de düzenlenen operasyonda midelerinde uyuşturucu taşıyan iki kişi tutuklandı. Polis, sokak satıcılarına yönelik yürüttüğü çalışmada, şüphelilerin yutma yöntemiyle uyuşturucu sevk ettiğini belirledi.
