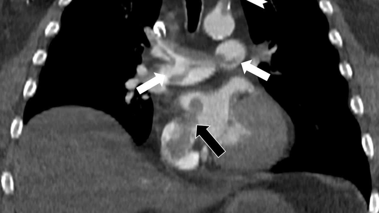
Prof. Dr. Karabulut'un çalışmasında, hastanın kalp odacıkları arasında fark edilmemiş bir delikten geçen pıhtının, hayatı tehdit eden bir durum oluşturduğu belirlendi. Bu durum, akciğerin bilgisayarlı tomografi anjiyografisi ile tespit edildi. Yapılan incelemede, pıhtının toplardamarlardan kaynaklanarak akciğer damarlarını tıkadığı, kalpteki delik nedeniyle sağ taraftan sol tarafa geçerek ana atardamara ulaştığı ve sol kol damarını tıkadığı ortaya kondu.
Emboli görüntülemesi üzerine çok sayıda bilimsel çalışması bulunan Prof. Dr. Karabulut, kalp deliği olan hastalarda ana atardamar yoluyla beyin, kol ve bacak gibi vücudun diğer bölgelerine pıhtı geçişinin ani damar tıkanmalarına yol açabileceğini vurguladı. Bu durum, paradoks emboli olarak bilinen bir durumu beraberinde getirebilir ve acil müdahale gerektirebilir.
Çalışmasında, nedeni bilinmeyen pıhtı atmalarında kalpteki gizli deliklerin mutlaka araştırılması gerektiğini belirten Karabulut, ekokardiyografi ve bilgisayarlı tomografi tetkiklerinin erken tanı koymada kritik bir rol oynadığına dikkat çekti. Bu tür tetkiklerin, hastaların yaşamını kurtarabileceği vurgulandı. Dolayısıyla, bu tür bulguların göz ardı edilmemesi gerektiği ifade edildi.
